Find us on Facebook Find us on Google+ Watch us on YouTube Visit our blog

Soxman & Buzzatto

 
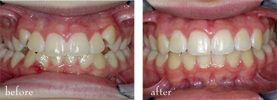
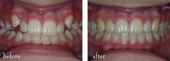
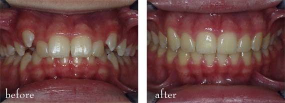
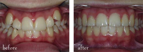
Orthodontist, Dr. John Buzzatto, provides comprehensive orthodontic care for children, teens and adults and pediatric dentist, Dr. Jane Soxman, provides comprehensive dental care from infancy through 21 years of age..

Home | Contact Us | Orthodontics | Pediatric Dentistry | Site Map

Orthodontics: About Us | Living with Braces | Ortho FAQ | Orthodontic Treatments

Pediatric Dentistry: Our Practice | Treatments and Procedures | Everyday Tips | Emergencies | Publications | Lecture Schedule

Orthodontic Web Site by Sesame Design™